あいあい歯科クリニック電話番号

受付:9:00~13:00 14:30~18:30
082-822-2022

症例紹介

オンライン初診予約

求人・採用情報

お問い合わせ

症例カテゴリ
すべて

矯正矯正マウスピース矯正

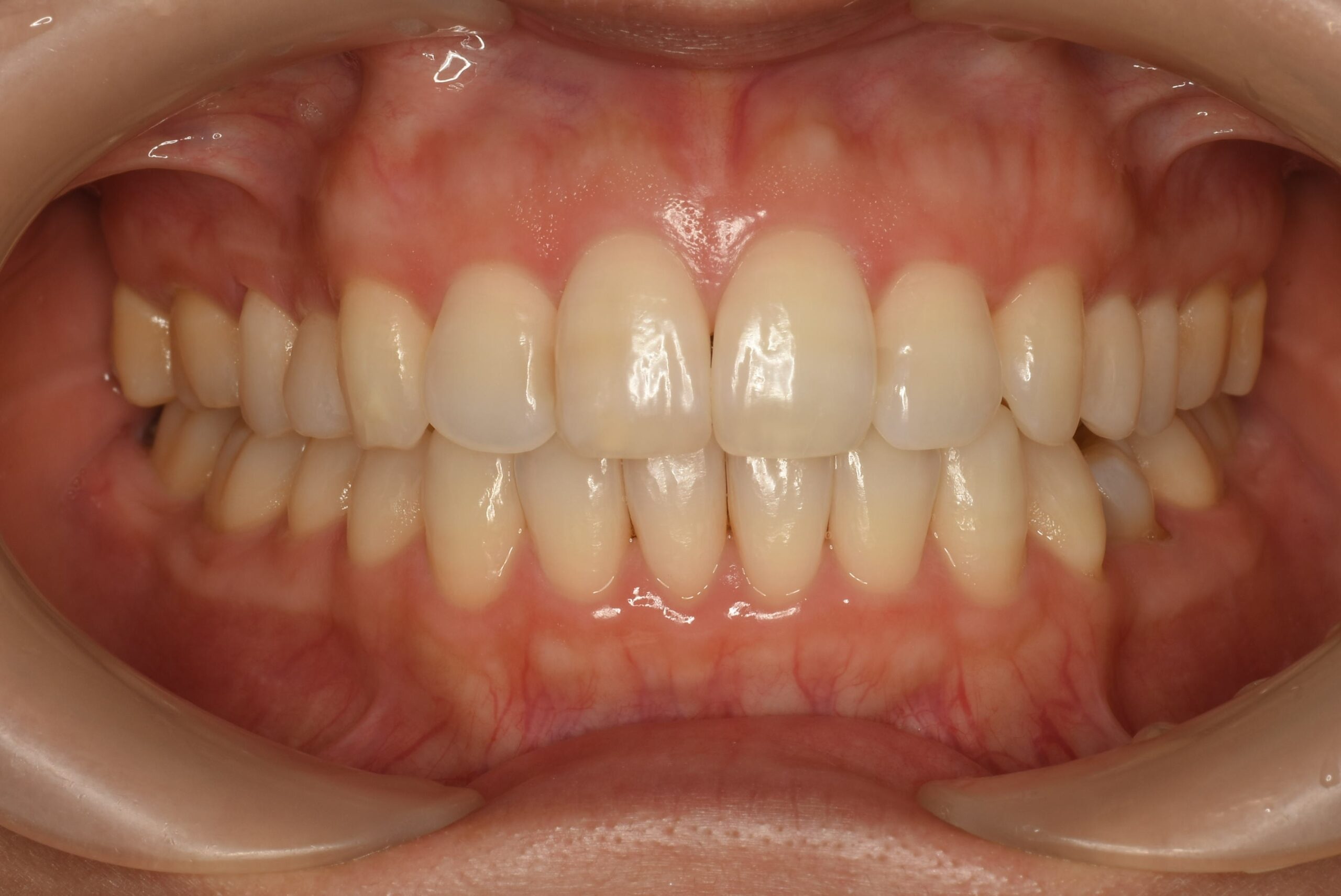
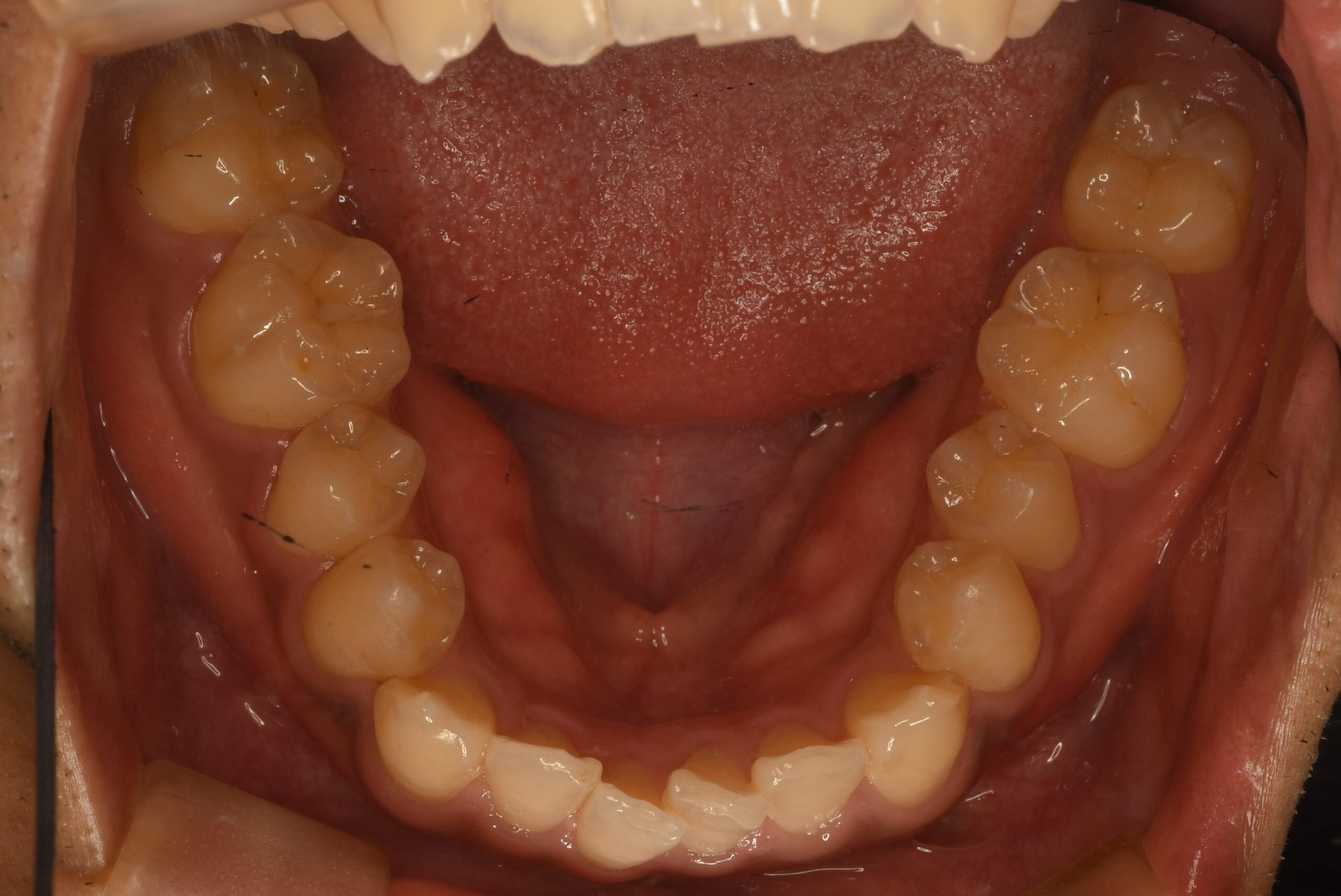
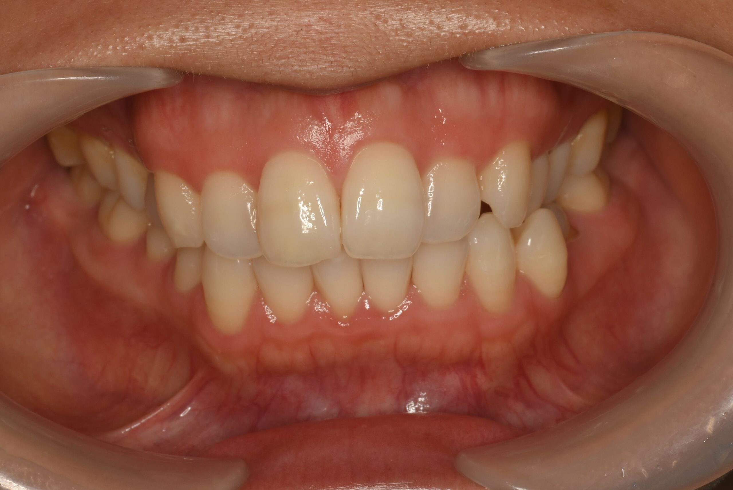
Case:下の前歯の歯並びがガタガタなのと、右上の前歯がうしろにあるのが気になる

<br />
<b>Warning</b>:  Undefined variable $img_field_leftt_before in <b>/home/dostand/aiai-dental-clinic.jp/public_html/wp-content/themes/aiai-wp/archive-case.php</b> on line <b>196</b><br />
<br />
<b>Warning</b>:  Trying to access array offset on value of type null in <b>/home/dostand/aiai-dental-clinic.jp/public_html/wp-content/themes/aiai-wp/archive-case.php</b> on line <b>196</b><br />

ビフォア

上側

右側

下側

左側

正面

正面に戻す

矢印クリックで切り替え

アフター

<br />
<b>Warning</b>:  Undefined variable $img_field_leftt_after in <b>/home/dostand/aiai-dental-clinic.jp/public_html/wp-content/themes/aiai-wp/archive-case.php</b> on line <b>237</b><br />
<br />
<b>Warning</b>:  Trying to access array offset on value of type null in <b>/home/dostand/aiai-dental-clinic.jp/public_html/wp-content/themes/aiai-wp/archive-case.php</b> on line <b>237</b><br />
年齢
29歳
性別
男性
主訴
下の前歯の歯並びがガタガタなのと、右上の前歯がうしろにあるのが気になる

この症例を詳しく見る >

矯正矯正マウスピース矯正

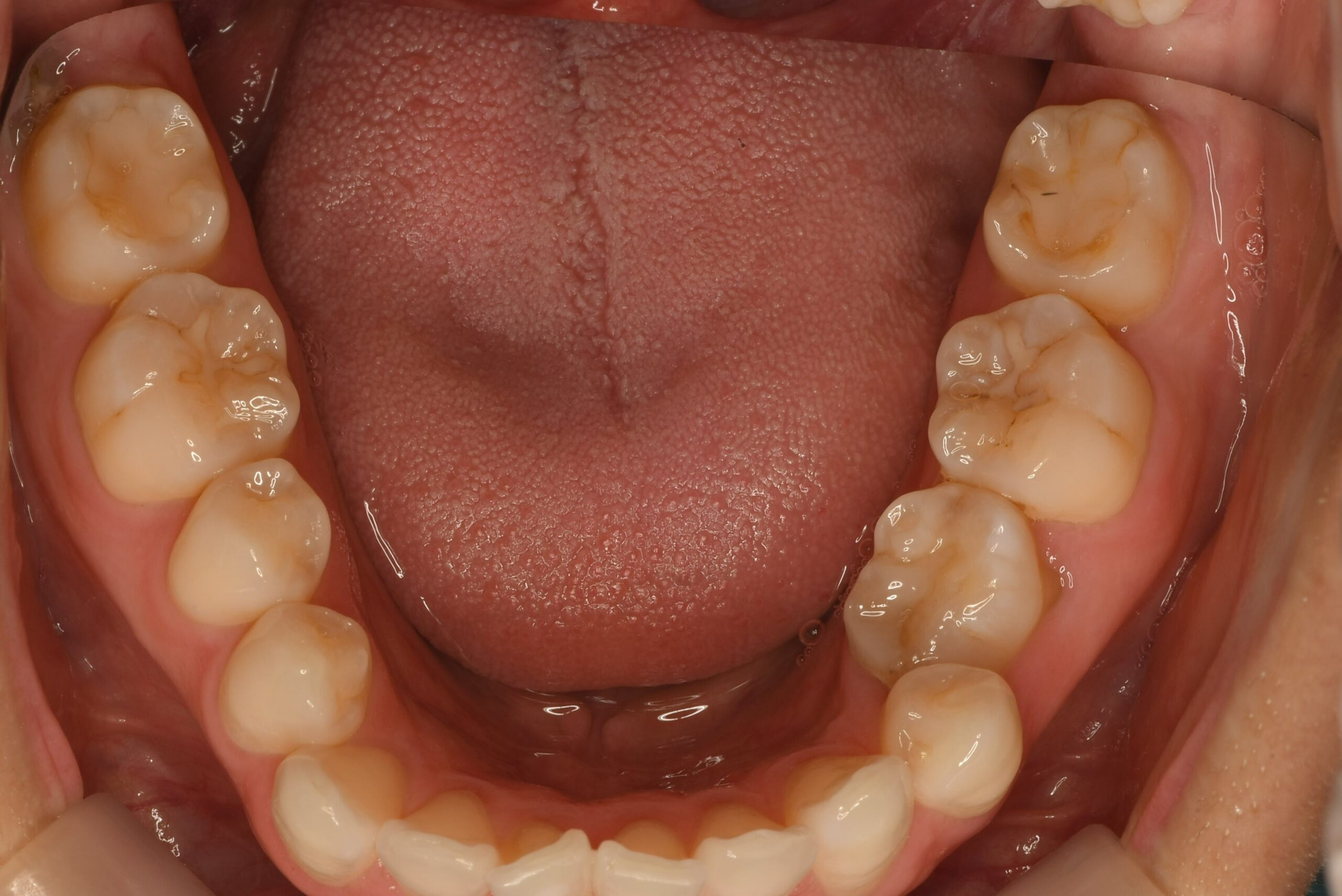
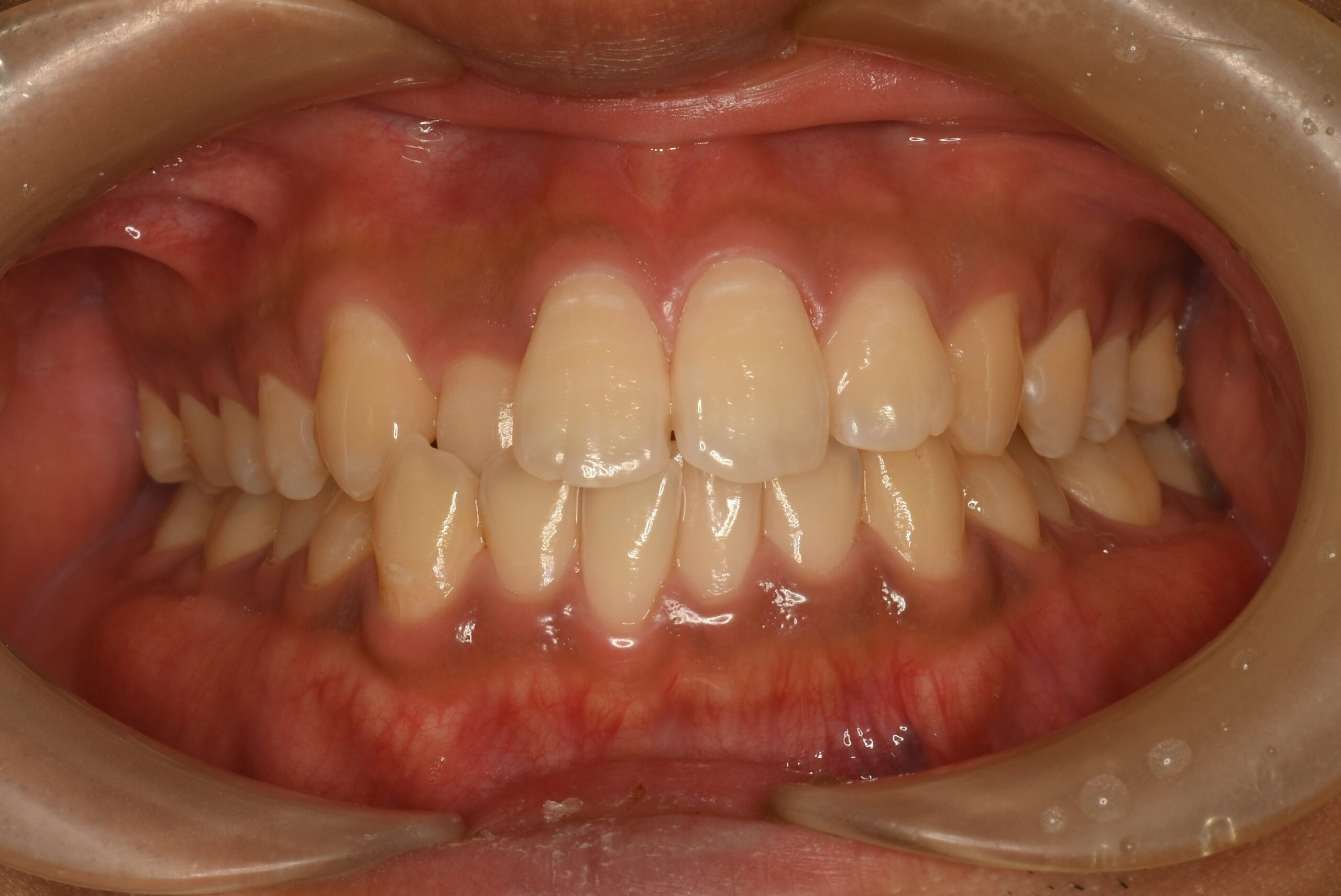
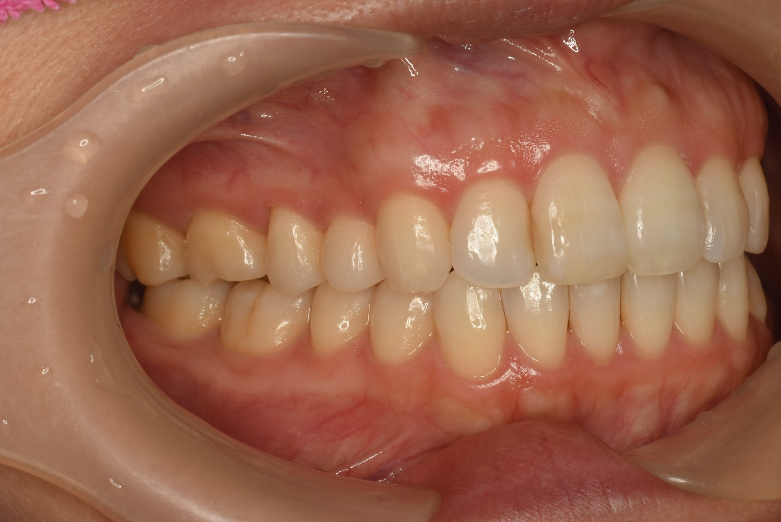
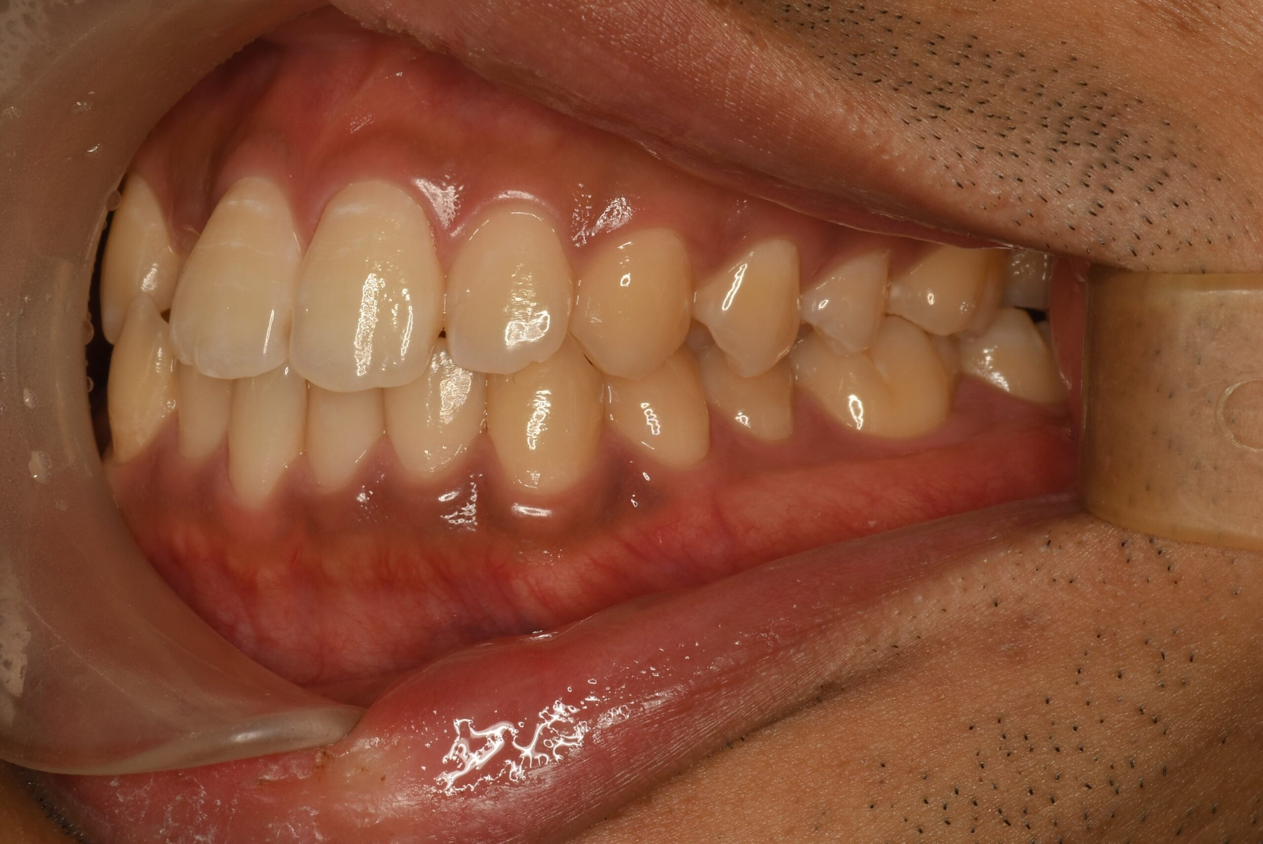
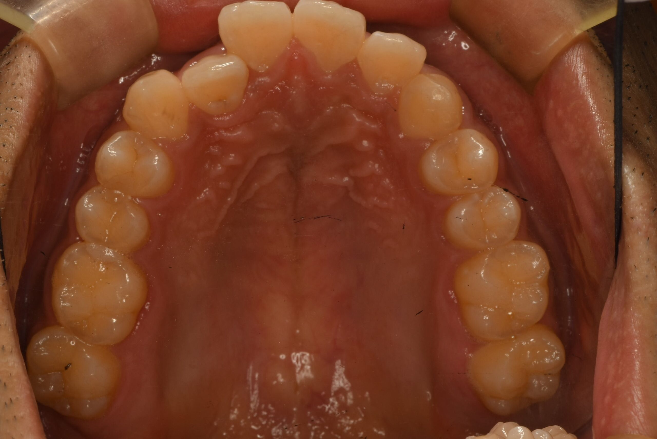
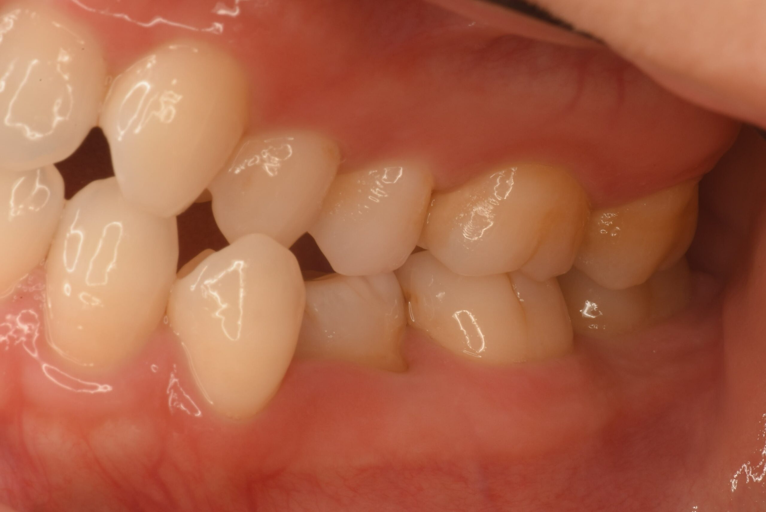
Case:前歯が噛んでいない。左側の臼歯のかみ合わせが反対になっている。

<br />
<b>Warning</b>:  Undefined variable $img_field_leftt_before in <b>/home/dostand/aiai-dental-clinic.jp/public_html/wp-content/themes/aiai-wp/archive-case.php</b> on line <b>196</b><br />
<br />
<b>Warning</b>:  Trying to access array offset on value of type null in <b>/home/dostand/aiai-dental-clinic.jp/public_html/wp-content/themes/aiai-wp/archive-case.php</b> on line <b>196</b><br />

ビフォア

上側

右側

下側

左側

正面

正面に戻す

矢印クリックで切り替え

アフター

<br />
<b>Warning</b>:  Undefined variable $img_field_leftt_after in <b>/home/dostand/aiai-dental-clinic.jp/public_html/wp-content/themes/aiai-wp/archive-case.php</b> on line <b>237</b><br />
<br />
<b>Warning</b>:  Trying to access array offset on value of type null in <b>/home/dostand/aiai-dental-clinic.jp/public_html/wp-content/themes/aiai-wp/archive-case.php</b> on line <b>237</b><br />
年齢
40歳
性別
女性
主訴
前歯が噛んでいない。左側の臼歯のかみ合わせが反対になっている。

この症例を詳しく見る >

矯正矯正小児矯正ワイヤー矯正

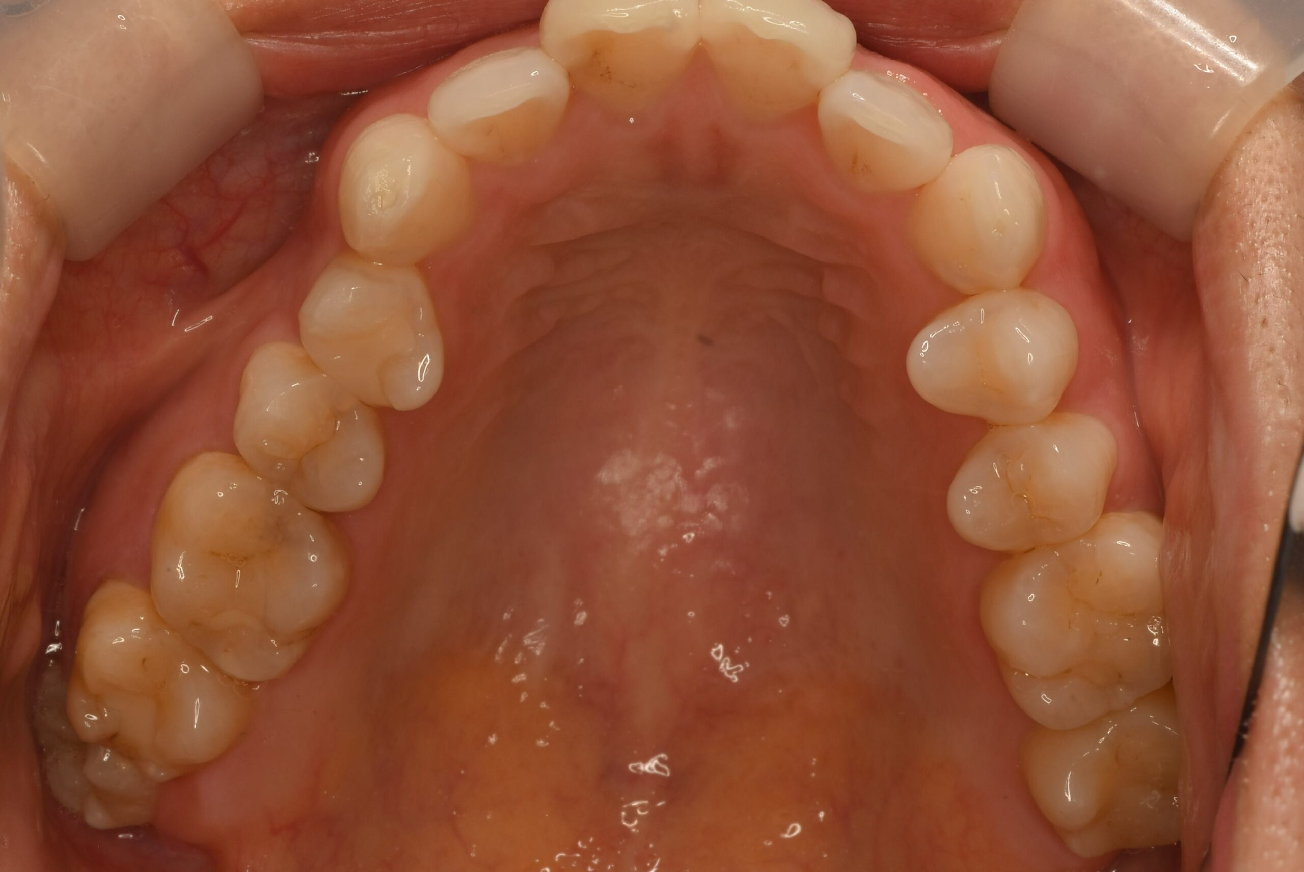
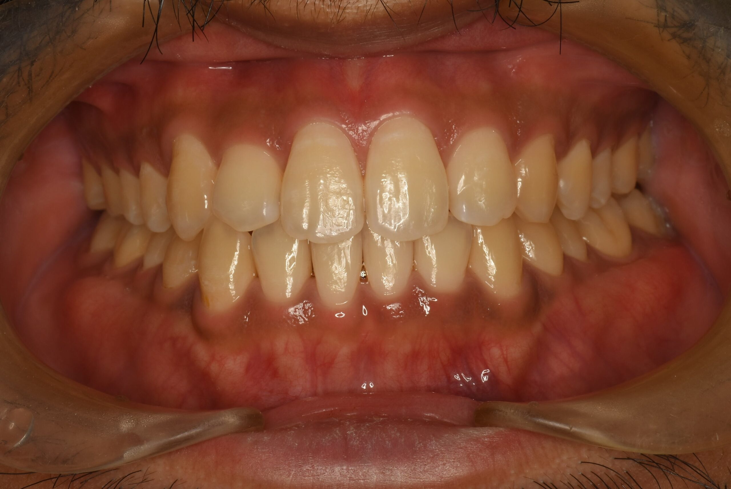
Case:前歯のガタガタを治してほしい。

<br />
<b>Warning</b>:  Undefined variable $img_field_leftt_before in <b>/home/dostand/aiai-dental-clinic.jp/public_html/wp-content/themes/aiai-wp/archive-case.php</b> on line <b>196</b><br />
<br />
<b>Warning</b>:  Trying to access array offset on value of type null in <b>/home/dostand/aiai-dental-clinic.jp/public_html/wp-content/themes/aiai-wp/archive-case.php</b> on line <b>196</b><br />

ビフォア

上側

右側

下側

左側

正面

正面に戻す

矢印クリックで切り替え

アフター

<br />
<b>Warning</b>:  Undefined variable $img_field_leftt_after in <b>/home/dostand/aiai-dental-clinic.jp/public_html/wp-content/themes/aiai-wp/archive-case.php</b> on line <b>237</b><br />
<br />
<b>Warning</b>:  Trying to access array offset on value of type null in <b>/home/dostand/aiai-dental-clinic.jp/public_html/wp-content/themes/aiai-wp/archive-case.php</b> on line <b>237</b><br />
年齢
10歳
性別
女性
主訴
前歯のガタガタを治してほしい。

この症例を詳しく見る >

矯正矯正小児矯正ワイヤー矯正

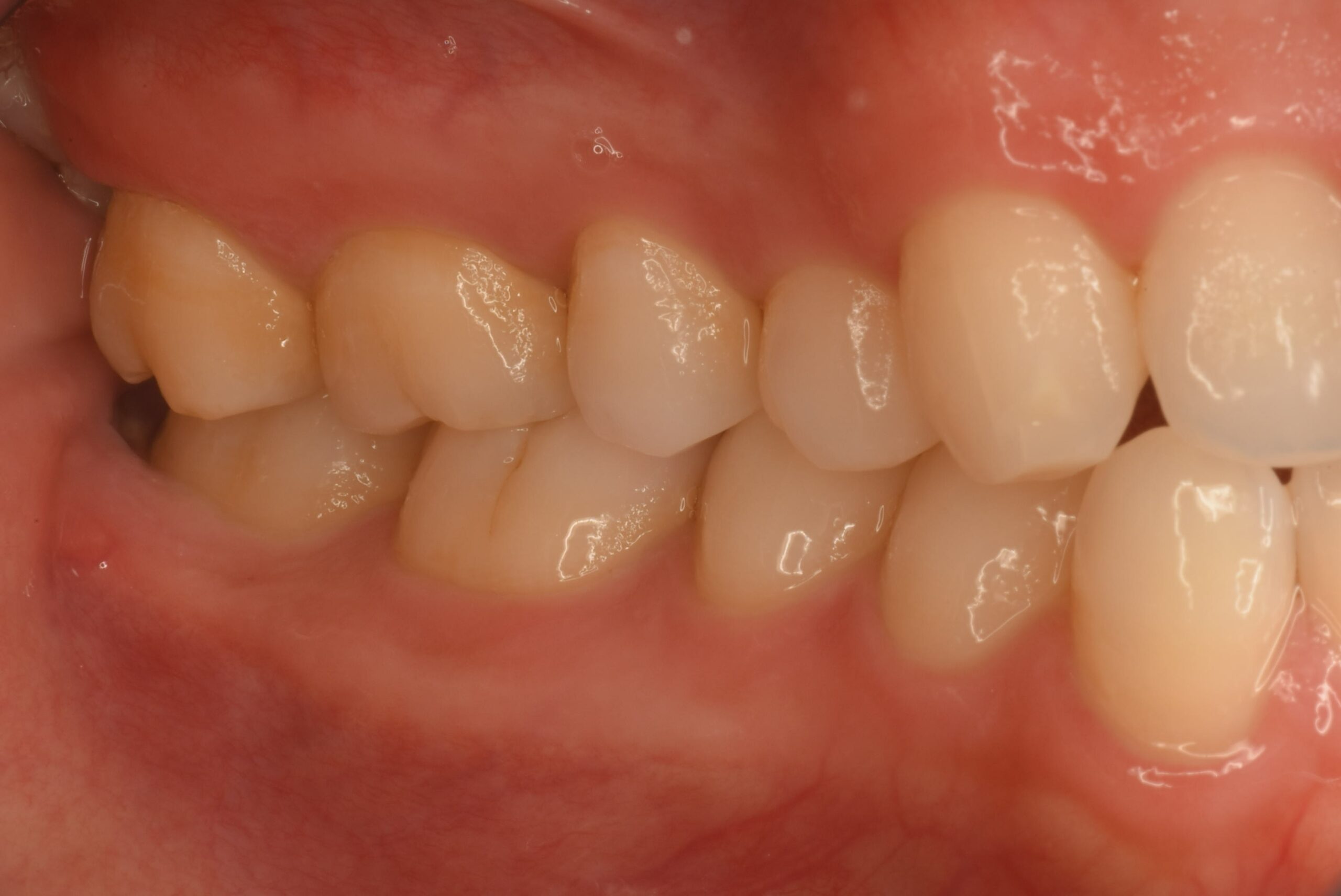
Case:前歯のガタガタを治したい。

<br />
<b>Warning</b>:  Undefined variable $img_field_leftt_before in <b>/home/dostand/aiai-dental-clinic.jp/public_html/wp-content/themes/aiai-wp/archive-case.php</b> on line <b>196</b><br />
<br />
<b>Warning</b>:  Trying to access array offset on value of type null in <b>/home/dostand/aiai-dental-clinic.jp/public_html/wp-content/themes/aiai-wp/archive-case.php</b> on line <b>196</b><br />

ビフォア

上側

右側

下側

左側

正面

正面に戻す

矢印クリックで切り替え

アフター

<br />
<b>Warning</b>:  Undefined variable $img_field_leftt_after in <b>/home/dostand/aiai-dental-clinic.jp/public_html/wp-content/themes/aiai-wp/archive-case.php</b> on line <b>237</b><br />
<br />
<b>Warning</b>:  Trying to access array offset on value of type null in <b>/home/dostand/aiai-dental-clinic.jp/public_html/wp-content/themes/aiai-wp/archive-case.php</b> on line <b>237</b><br />
年齢
9歳
性別
男性
主訴
前歯のガタガタを治したい。

この症例を詳しく見る >

矯正その他

Case:左下5番の歯を治療したい。

<br />
<b>Warning</b>:  Trying to access array offset on value of type bool in <b>/home/dostand/aiai-dental-clinic.jp/public_html/wp-content/themes/aiai-wp/archive-case.php</b> on line <b>193</b><br />
<br />
<b>Warning</b>:  Trying to access array offset on value of type bool in <b>/home/dostand/aiai-dental-clinic.jp/public_html/wp-content/themes/aiai-wp/archive-case.php</b> on line <b>194</b><br />
<br />
<b>Warning</b>:  Trying to access array offset on value of type bool in <b>/home/dostand/aiai-dental-clinic.jp/public_html/wp-content/themes/aiai-wp/archive-case.php</b> on line <b>195</b><br />
<br />
<b>Warning</b>:  Undefined variable $img_field_leftt_before in <b>/home/dostand/aiai-dental-clinic.jp/public_html/wp-content/themes/aiai-wp/archive-case.php</b> on line <b>196</b><br />
<br />
<b>Warning</b>:  Trying to access array offset on value of type null in <b>/home/dostand/aiai-dental-clinic.jp/public_html/wp-content/themes/aiai-wp/archive-case.php</b> on line <b>196</b><br />

ビフォア

上側

右側

下側

左側

正面

正面に戻す

矢印クリックで切り替え

アフター

<br />
<b>Warning</b>:  Trying to access array offset on value of type bool in <b>/home/dostand/aiai-dental-clinic.jp/public_html/wp-content/themes/aiai-wp/archive-case.php</b> on line <b>234</b><br />
<br />
<b>Warning</b>:  Trying to access array offset on value of type bool in <b>/home/dostand/aiai-dental-clinic.jp/public_html/wp-content/themes/aiai-wp/archive-case.php</b> on line <b>235</b><br />
<br />
<b>Warning</b>:  Trying to access array offset on value of type bool in <b>/home/dostand/aiai-dental-clinic.jp/public_html/wp-content/themes/aiai-wp/archive-case.php</b> on line <b>236</b><br />
<br />
<b>Warning</b>:  Undefined variable $img_field_leftt_after in <b>/home/dostand/aiai-dental-clinic.jp/public_html/wp-content/themes/aiai-wp/archive-case.php</b> on line <b>237</b><br />
<br />
<b>Warning</b>:  Trying to access array offset on value of type null in <b>/home/dostand/aiai-dental-clinic.jp/public_html/wp-content/themes/aiai-wp/archive-case.php</b> on line <b>237</b><br />
年齢
28歳
性別
男性
主訴
左下5番の歯を治療したい。

この症例を詳しく見る >